Logo for Flapless by Dr. Andrei Ungureanu, featuring a screw with an arrow pointing upwards inside the letter 'A' in 'Flapless'.

Integrezi chirurgia ghidată digitală într-un workflow clar, de la decizie la aplicare.

Prima ediție a programului începe pe 9 Martie

FLAPLESS este un program educațional complet, construit ca sistem: imagistică, scanare, matching DICOM–STL, planificare protetic-orientată, ghiduri chirurgicale (de la simplu la complex), printare 3D, truse ghidate, execuție flapless și decizii pentru cazuri regenerative (Khoury, sinus lift, rezecție apicală + bonus endo).
Ai acces și la pachete cu Flapy (AI Mentor), vouchere Lab și, implanturi MODE livrate direct.

Alegi nivelul. Urmezi parcursul. Îți construiești planul de tratament si deciziile pe date.

Silhouette of a healthcare professional with a stethoscope, holding a clipboard with a checkmark.
A white line drawing of a human brain with a checkmark inside a circle over the center of the brain, on a black background.
Outline illustration of a knife with a black handle, pointed downwards, with a small keyhole symbol beneath it on a black background.

01
Alegi pachetul

Circular arrow icon representing refresh or reload.

03
Hands On

02
Primești acces

04
Live-Op

Problema : deviația dintre plan și realitate.

Studiile arată că chirurgia ghidată reduce deviațiile de poziționare și trauma chirurgicală, dar doar atunci când datele digitale sunt corect corelate și executate fidel intraoperator.
În practica curentă, diferențele dintre planificare și realitate apar din erori de imagistică, matching imperfect și lipsa unui protocol clar de conversie, ceea ce face flapless-ul impredictibil.
Erorile mici din CBCT, scanare sau matching se acumulează și duc la deviații intraoperatorii, conversii neprevăzute și pierderea controlului.

Această impredictibilitate duce la timp operator crescut, stres decizional și revenirea la tehnici mai invazive, chiar și în cazuri eligibile pentru flapless.
FLAPLESS rezolvă exact această problemă: transformă chirurgia ghidată într-un workflow controlat, repetabil și sigur, de la decizie digitală la aplicare clinică.

FLAPLESS rezolvă problema predictibilității în chirurgia ghidată

FLAPLESS îți oferă un sistem complet, de la decizie la control clinic: decizie → planificare → ghid → execuție → verificare.
Chirurgia ghidată devine predictibilă când pornește din date curate și verificabile: CBCT corect ales, scanare corect realizată și matching validat pe secțiuni.

Planificarea este protetic-orientată: poziția implantului urmează dintele final, ceea ce elimină compromisurile care complică ulterior protetica și cresc riscul clinic.
În program înțelegi logica software-ului și criteriile reale de lucru: ce funcții contează, ce verifici, ce exporți și ce trimiți la print, folosind workflow-uri aplicate în piață (Blue Sky Plan, Exocad/Exoplan, RealGuide, Atomica Ai).

Execuția chirurgicală urmează indicația biologică și anatomică: flapless când este justificat, flap când controlul țesuturilor și volumul osos o cer.
Partea avansată aduce ghiduri care cresc precizia și reduc riscul: recoltare, sinus, endo ghidat, rezecții apicale, plus principii de printare 3D și post-procesare care fac diferența dintre un ghid stabil și unul periculos.

Abstract digital network with interconnected points and lines on a dark background.

Ce include programul FLAPLESS

FLAPLESS este construit ca un traseu coerent, gândit exact în ordinea în care iei decizii reale în cabinet. Fiecare etapă se leagă de următoarea, fără goluri și fără improvizații.

  • Flapless vs clasic – indicații reale, limite biologice și criterii clare de decizie

  • Imagistică (CBCT) – ce soliciți, ce verifici, criterii de calitate și erori frecvente

  • Scanare intraorală și scan facial – protocoale corecte și surse comune de eroare

  • Matching DICOM–STL – verificare pe secțiuni și control real al suprapunerii

  • Edentație totală – logică decizională, stabilitate, ghiduri suprapuse și încărcare imediată

  • Implanturi – forme, dimensiuni, suprafețe și tipuri de conexiuni, alese corect clinic

  • Componente protetice – traseu clar de la soluții simple la cazuri complexe (inclusiv logica MUA / TiBase)

  • Truse de chirurgie ghidată – componente, offset, manșoane, pini; trusă dedicată vs universală

  • Software de chirurgie ghidată – funcții critice, criterii de selecție și workflow rapid

  • Ghiduri chirurgicale pentru implanturi – de la cazuri simple la situații complexe

  • Ghiduri avansate – tehnica Khoury, sinus lift, rezecție apicală + bonus endo ghidat

  • Printare 3D – materiale, orientare, post-procesare și criterii de siguranță clinică

    învață să parcurgi același traseu, corect, de fiecare dată, indiferent de complexitatea cazului.

Alege parcursul potrivit pentru nivelul tău clinic

Programul este structurat în două etape complementare, fiecare cu rol clar:
– prima îți oferă control predictibil în flapless,
– a doua îți construiește gândirea chirurgicală avansată

FLAPLESS este structurat modular, astfel încât fiecare medic să poată intra exact în punctul potrivit al parcursului său profesional.

Ce parcurgi
În această etapă îți construiești baza decizională și execuțională pentru flapless.
Lucrezi pe date reale, planificare completă și ajungi în câmp operator cu un protocol clar, verificat pas cu pas.

Înveți să selectezi cazurile corecte, să planifici protetic-orientat și să folosești ghiduri STAGEABLE, cu control real asupra poziției implantului.

Cum se desfășoară
– 4 săptămâni online (Zoom), cu lucru aplicat pe cazuri
– 1 zi workshop clinic
– grup restrâns, maxim 8 medici
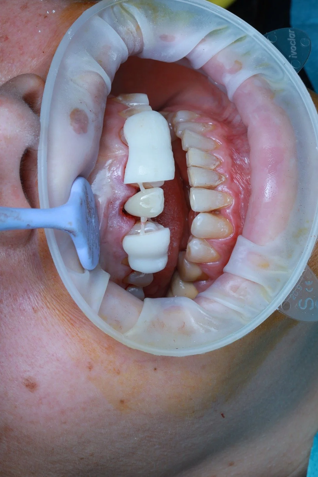
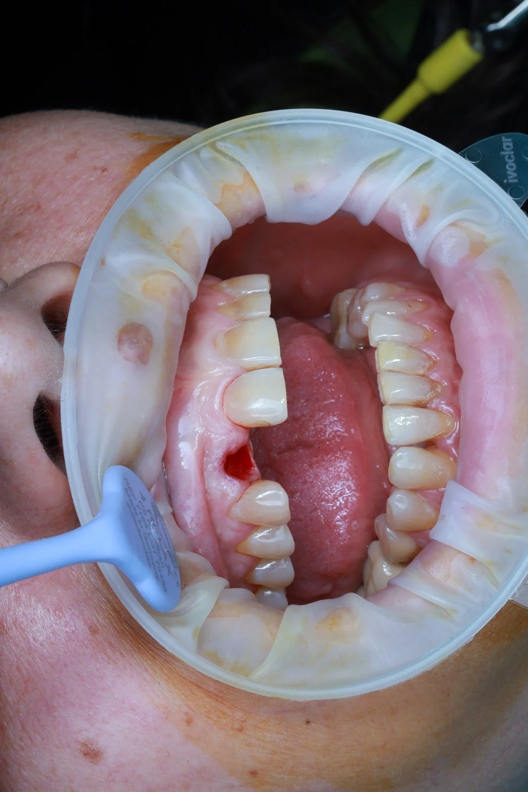
– fiecare cursant plasează UN implant flapless ghidat, pe pacient real, sub supervizare

Logistică clinică
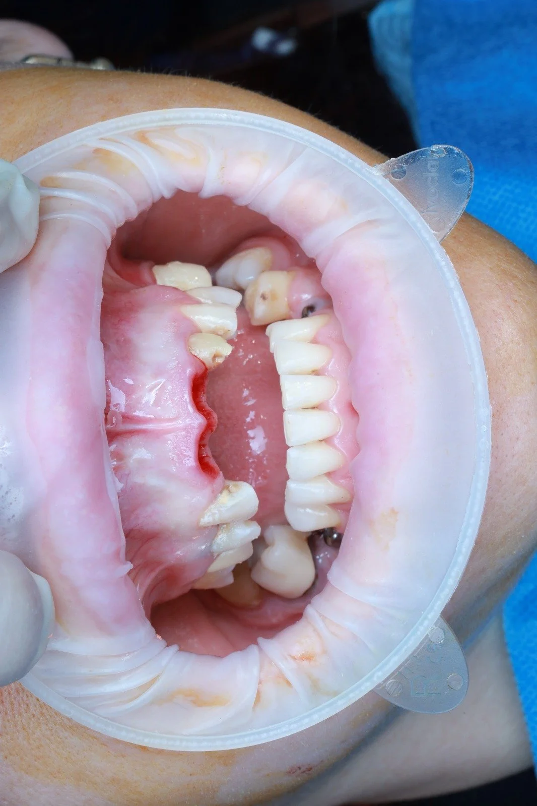
– pacienți edentați parțial
– fiecare pacient primește 5 implanturi
– fiecare cursant operează efectiv un implant
– cazuri cu risc scăzut, ghidate, controlate

Ce obții la final
– capacitatea de a decide corect flapless vs. flap
– un protocol flapless replicabil în cabinet
– experiență reală de execuție,

Chirurgie ghidată flapless predictibilă STAGIABLE

Chirurgie ghidată avansată & gândire STACKABLE

Ce parcurgi
Această etapă te scoate din zona de confort a flapless-ului „curat” și te introduce în chirurgia ghidată avansată, acolo unde cazurile cer etapizare, acces, regenerare și control al riscului.

Înveți diferența dintre STAGEABLE și STACKABLE și cum se construiesc ghiduri pentru cazuri care depășesc flapless: sinus lift, recoltare osoasă, mesh de zirconiu, rezecții apicale și endodonție ghidată.

Cum se desfășoară
– 4 săptămâni online (Zoom)
– 1 zi workshop clinic
– caz complex operat live, explicat decizional pas cu pas

Logistică clinică
– 1 pacient
– caz STACKABLE complet
– planificare live + intervenție ghidată etapizată
– explicații continue: ce se face, de ce, unde sunt limitele

Ce obții la final
– capacitatea de a gestiona cazuri complexe fără improvizație
– maturitate decizională în chirurgia ghidată

– bază solidă pentru reconstrucții osoase avansate

Ce se schimbă concret după FLAPLESS

FLAPLESS schimbă modul în care medicul gândește și execută chirurgia ghidată. De la acumulare de informații disparate, la un parcurs clinic coerent, controlabil și reproductibil, aplicabil direct în cabinet.

După parcurgerea programului, decizia chirurgicală devine clară și rapidă. Datele digitale sunt citite, verificate și corelate corect, iar planificarea pornește din obiectivul protetic, nu din compromisuri anatomice. Ghidul chirurgical devine un instrument de control, nu o presupunere.

În sala de operație, execuția urmează indicația biologică și anatomică. Flapless este folosit atunci când criteriile sunt îndeplinite, iar conversia către abordări avansate apare natural, fără blocaj sau ezitare. Medicul lucrează cu siguranță, ritm și predictibilitate.

Transformarea finală este una profesională: autonomie în workflow-ul digital, claritate în decizie și capacitatea de a replica același standard clinic, caz după caz, indiferent de complexitate.

A dental implant surgical guide with a dental implant tool on the left, used for precise placement of dental implants.
A transparent 3D-printed model of a jaw, with metal pins, set against a black background.
Dental prosthetic upper teeth model with a transparent orthodontic device on a black background.

Ce primești, concret

Un parcurs clinic în ordine corectă
Parcurgi chirurgia ghidată în succesiunea în care funcționează în realitate: interpretare CBCT, selecție biologică, date digitale curate, planificare protetic-orientată, ghid chirurgical, execuție controlată.

Criterii de decizie clare
Lucrezi cu criterii verificabile pentru flapless și flap, pentru STAGEABLE și STACKABLE, astfel încât fiecare decizie să aibă suport anatomic și biologic.

Control asupra datelor digitale
Înțelegi ce ceri, ce verifici și ce validezi înainte de a intra în operator: scanare, matching DICOM–STL, erori frecvente, puncte de control.

Aplicare clinică pe pacient real
Execuția nu rămâne teoretică. În Etapa FLAPLESS plasezi un implant flapless ghidat, sub supervizare. În Etapa FLAPLESSISH urmărești chirurgie ghidată avansată, cu explicație decizională completă.

Gândire chirurgicală etapizată
Înveți să recunoști limitele flapless-ului și să construiești intervenții STACKABLE, cu ghiduri pentru recoltare, sinus lift, endo ghidat, rezecții apicale și reconstrucții osoase complexe.

Independență față de „black box”
Dobândești capacitatea de a înțelege și controla software-ul de chirurgie ghidată, designul ghidurilor și criteriile de printare 3D, fără dependență de interpretări externe.

Un sistem replicabil în echipă
Primești o structură de lucru care poate fi aplicată și transmisă mai departe în cabinet, caz după caz.

La finalul parcursului FLAPLESS, lucrezi cu un sistem clinic coerent, care susține decizia, reduce improvizația și crește predictibilitatea intervențiilor ghidate, de la cazuri simple la chirurgie avansată.

Descoperă parcursul FLAPLESS și nivelul potrivit pentru tine:

Ce pierzi dacă nu acționezi acum!

Pierzi timp operator prin decizii reluate de la zero, pentru că nu ai un workflow standardizat de la CBCT la execuție.
Pierzi siguranță clinică atunci când planificarea digitală nu se traduce fidel în câmpul operator.
Pierzi predictibilitate protetică, fiind nevoit să faci ajustări ulterioare din cauza unei planificări insuficient orientate pe dintele final.
Pierzi capacitatea de a aborda cazuri avansate (edentații, augmentări, ghiduri complexe) fără dependență de alte decizii externe.
Pierzi scalabilitate în echipă, pentru că fiecare caz rămâne dependent de experiența individuală, nu de un sistem replicabil.

Black background with white text that says 'FLAPL3SS by Dr. Andrei Ungureanu,' with the letter 'A' in 'FLAPL3SS' stylized as a screw.

Frequently Asked Questions

  • Formarea este structurată pe etape. Intri în parcursul care corespunde nivelului tău clinic și avansezi în ordinea corectă, fără să sari etape.

  • FLAPLESS structurează decizia și execuția într-un sistem coerent, cu criterii verificabile, aplicate de la datele inițiale până la control intraoperator.

  • Parcursul include aplicare clinică pe pacient real și Live OP pentru cazuri avansate, cu explicație decizională pas cu pas.

  • Formarea este construită pe logică deschisă de workflow. Poți integra ușor colaborările existente în structura învățată.

  • Rămâi cu un sistem de lucru replicabil, aplicabil imediat în cabinet, indiferent de complexitatea cazurilor abordate.

  • Poți alege plata integrală sau plata etapizată, în funcție de pachetul ales și de opțiunea de plată selectată (online sau prin consultant).

Dacă vrei să lucrezi cu un workflow clar, verificabil și replicabil, acesta este parcursul.
FLAPLESS îți oferă structură, criterii și control clinic, de la decizie la execuție.

Alege nivelul care se potrivește stadiului tău actual și intră în formare.

Prima ediție a programului incepe pe 9 Martie